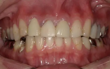
当院の症例 すべての症例一覧 インプラントの症例 セラミックの症例 ホワイトニングの症例 矯正の症例 根管治療の症例 その他の症例 インプラントセラミック根幹治療 2026.04.30 40代男性 前歯をインプラント治療で修復し、奥歯は根管治療で残した症例 インプラントセラミック 2026.04.05 50代男性 欠損していた下左右奥歯にインプラントを埋入してしっかりと噛めるように治療した症例 セラミック根幹治療 2024.12.15 30代男性 根が割れた歯に意図的再植術を施したあとセラミックの被せ物で修復した症例 セラミック 2024.03.03 60代男性 保険の被せ物をセラミックで治療した症例