当院の症例
-
インプラント

2025.12.2730代女性 歯ぐきに水ぶくれができた歯を抜き骨造成法とインプラント治療を併用して歯を補った症例
-
インプラント

2025.11.0930代男性「他院で抜歯後、ブリッジ・部分入れ歯・インプラントで悩んでいる」欠損部を切開しないインプラント治療をした症例
-
インプラント

2025.11.0960代女性「ブリッジを勧められたが健全な歯を削りたくない」 抜歯した奥歯をインプラントで治療した症例
-
インプラント

2025.10.0270代女性「義歯がゆるい、隙間から食べ物がはいるのが気になる」インプラント治療でしっかり噛めるようになった症例
-
インプラント

2025.10.0290代男性「他院にて下顎作製したが合わず痛い。食事がとれない。」下顎の前歯部にインプラントを2本埋入し、しっかりと噛めるようになった症例
-
インプラント

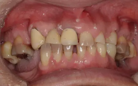
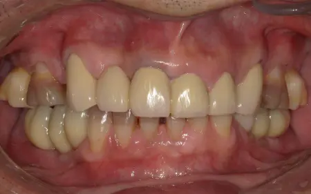
2024.12.1540代男性 天然歯をできる限り残すためにインプラントを用いながら虫歯の治療と噛み合わせを改善した症例
-
インプラント

2024.12.1560代男性 痛みのあるブリッジを除去してインプラントブリッジを併用し噛み合わせを改善した症例
-
インプラント

2024.08.1780代女性「インプラントのところが痛い。腫れている。」前方部の骨のあるところにインプラント体を2本埋入して義歯を安定させた症例【セカンドオピニオン】
-
インプラント

2024.08.1750代女性「前歯が2本折れてしまった」インプラントとジルコニアの補綴で治療した症例
-
インプラント

2024.08.1760代男性「歯を入れて欲しい」インプラント治療を行った症例
-
インプラント

2024.08.1740代男性「虫歯により抜歯になった」サージカルガイドを使用したインプラントの症例【セカンドオピニオン】
-
インプラント

2024.08.1750代女性「歯科恐怖症で治療ができなかった。歯がボロボロで噛めない」インプラントとメタルボンドを入れ、物が噛めてご飯が食べられるようになった症例
