当院の症例
-
インプラントセラミック根幹治療

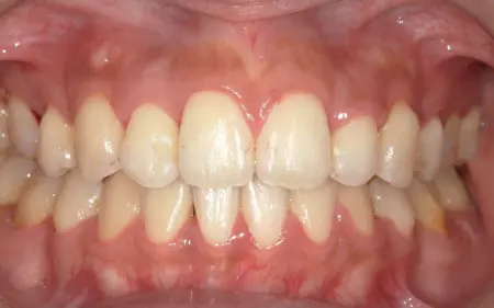
2026.04.3040代男性 前歯をインプラント治療で修復し、奥歯は根管治療で残した症例
-
インプラント

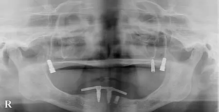
2026.04.3040代女性 欠損している左下奥歯にインプラントを埋入して噛み合わせを回復させた症例
-
インプラントセラミック

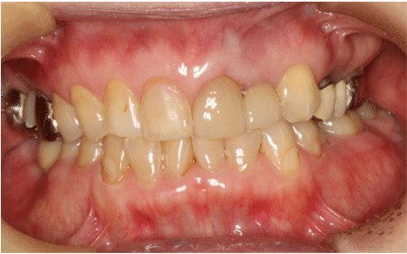
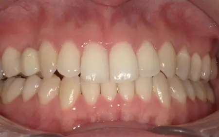
2026.04.0550代男性 欠損していた下左右奥歯にインプラントを埋入してしっかりと噛めるように治療した症例
-
インプラント

2026.04.0550代女性 抜歯部位をインプラント治療で補いしっかりと噛めるように改善した症例
-
インプラント

2025.12.2730代女性 歯ぐきに水ぶくれができた歯を抜き骨造成法とインプラント治療を併用して歯を補った症例
-
矯正

2025.12.2710代女性 突出感のある口元と乱れた歯並びをワイヤー矯正で改善した症例
-
矯正

2025.11.0920代女性 マルチブラケット装置やヘッドギアを併用した矯正治療で出っ歯を改善した症例
-
インプラント

2025.11.0930代男性「他院で抜歯後、ブリッジ・部分入れ歯・インプラントで悩んでいる」欠損部を切開しないインプラント治療をした症例
-
インプラント

2025.11.0960代女性「ブリッジを勧められたが健全な歯を削りたくない」 抜歯した奥歯をインプラントで治療した症例
-
インプラント

2025.10.0270代女性「義歯がゆるい、隙間から食べ物がはいるのが気になる」インプラント治療でしっかり噛めるようになった症例
-
インプラント

2025.10.0290代男性「他院にて下顎作製したが合わず痛い。食事がとれない。」下顎の前歯部にインプラントを2本埋入し、しっかりと噛めるようになった症例
-
セラミック根幹治療

2024.12.1530代男性 根が割れた歯に意図的再植術を施したあとセラミックの被せ物で修復した症例
