当院の症例
-
インプラント

2024.12.1540代男性 天然歯をできる限り残すためにインプラントを用いながら虫歯の治療と噛み合わせを改善した症例
-
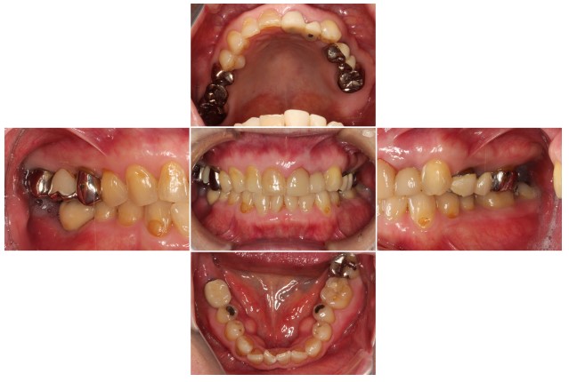
インプラント

2024.12.1560代男性 痛みのあるブリッジを除去してインプラントブリッジを併用し噛み合わせを改善した症例
-
インプラント

2024.08.1780代女性「インプラントのところが痛い。腫れている。」前方部の骨のあるところにインプラント体を2本埋入して義歯を安定させた症例【セカンドオピニオン】
-
インプラント

2024.08.1750代女性「前歯が2本折れてしまった」インプラントとジルコニアの補綴で治療した症例
-
インプラント

2024.08.1760代男性「歯を入れて欲しい」インプラント治療を行った症例
-
インプラント

2024.08.1740代男性「虫歯により抜歯になった」サージカルガイドを使用したインプラントの症例【セカンドオピニオン】
-
矯正

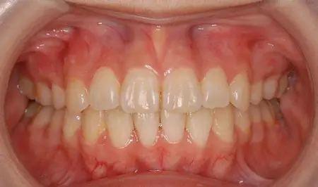
2024.08.1720代女性「出っ歯と歯のガタガタが気になる」叢生を伴う上顎前突症をワイヤー矯正で治療した症例
-
矯正

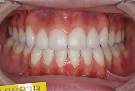
2024.08.1720代女性「前歯のガタガタが気になる」ワイヤー矯正で治療した症例
-
インプラント

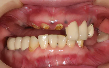
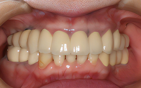
2024.08.1750代女性「歯科恐怖症で治療ができなかった。歯がボロボロで噛めない」インプラントとメタルボンドを入れ、物が噛めてご飯が食べられるようになった症例
-
インプラント

2024.08.1750代女性「前歯がぐらぐらして痛みがある」ブリッジとインプラントで揺れることなくお口全体で物を噛めるようになった症例
-
インプラント

2024.03.0340代⼥性「他院で抜⻭後の⽋損部を治したい」インプラントで治療した症例
-
セラミック

2024.03.0360代男性 保険の被せ物をセラミックで治療した症例
