当院の症例
-
インプラント

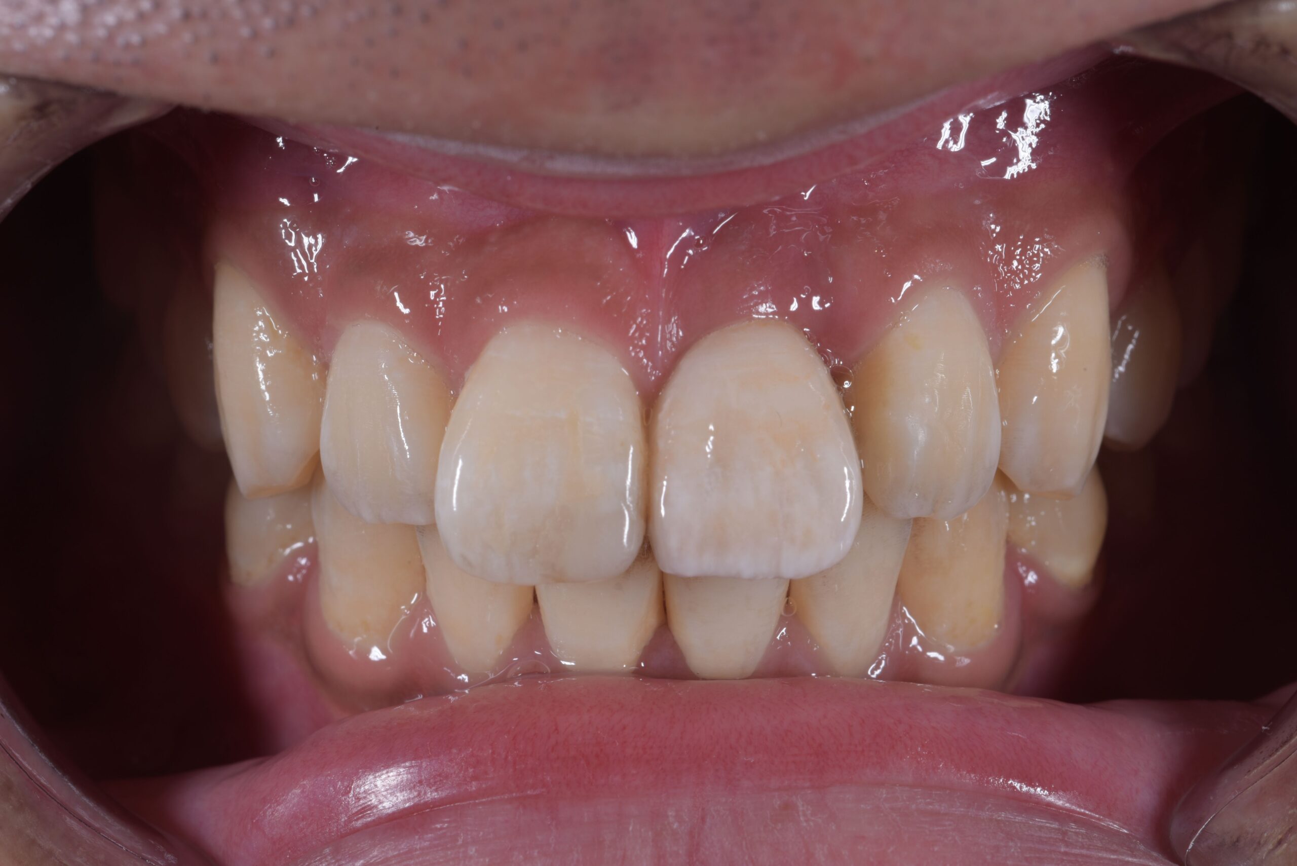
2024.03.0350代女性「前⻭が2本折れてしまった」ジルコニアクラウンにて補綴を行なった症例
-
インプラント

2024.03.0350代男性「他院で抜⻭後の欠損部を治したい」インプラントで治療した症例
-
インプラント

2024.03.0360代男性 下の奥歯を抜歯し、義歯を作成したが、義歯が合わなかったためインプラントを希望された症例
-
インプラント

2024.03.0360代性女性 奥歯を虫歯により抜歯したため、インプラントを希望され来院した症例
-
インプラント

2024.03.0350代男性「上の奥⻭の義⻭が合わない」インプラントで治療した症例
-
インプラント

2024.03.0330代男性 フラップレス症例
-
インプラント

2024.03.0320代男性 抜歯後即時埋入した症例
-
その他

2024.03.0250代女性「顔の赤い発疹が気になる」皮ふ科で治せなかった症状を、銀歯による金属アレルギーが原因の掌蹠膿疱症と診断。被せ物をすべてセラミックに置き換えたことで炎症がなくなった症例
